《Wrinkles》



《تجاعيد 》

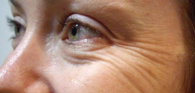
《Wrinkles》

ازاى احمى بشرتى من التجاعيد ؟ 🤔
وايه اسباب ظهور التجاعيد ؟!
وازاى اعالجها بشكل امن ؟

دى اسأله اتسألناها وهنجاوب عليها دلوقتى مع بعض 👇

اولا :
التجاعيد من العلامات الطبيعية للتقدم في السن، حيث تظهر في مناطق متعددة من الجسم وبالأخص المناطق المعرضة لأشعة الشمس كالوجه، واليد، والساعد.

بالرغم من كون العامل الوراثي محدداً لتركيب الجلد ومرونته إلا أنّ التعرض لأشعة الشمس يعد العامل الرئيس المسبب للتجاعيد بالأخص لذوي البشرة الفاتحة، وهناك عوامل أخرى كالتلوث والتدخين من  الممكن أن تساهم في تشكل التجاعيد .

👈🏻 اما عن اسباب ظهور التجاعيد

1 . التقدم في العمر:
مع زيادة السن فإن الجلد يفقد جزءاً من مرونته ويصبح أكثر هشاشة، ويفقد قدرته على إنتاج الزيوت التي تبقيه رطباً، ويؤدي إلى جفافه وجعله يظهر بشكل مجعد.

2 . اختفاء طبقة الدهون الموجودة أسفل الجلد :
تؤدي إلى ترهله وارتخائه وجعله أكثر عرضة لتكون التجاعيد والأخاديد.

3 . التعرض للأشعة فوق البنفسجية:
يسرع من علامات شيخوخة الجلد، ويعد عاملاً رئيساً ومسبباً أساسياً في الشيخوخة المبكرة وظهور التجاعيد، حيث تعمل الأشعة فوق البنفسجية على تكسير الأنسجة الرابطة (كالكولاجين وألياف الإيلاستين) الموجودة في طبقة الأدمة.

4 . التدخين:
يعتبر التدخين من العوامل المهمة المسرعة لشيخوخة الجلد والمساهمة في ظهور التجاعيد. والسبب في ذلك تقليل الإمداد الدموي للجلد بفعل التدخين.

5 . التعابير الوجهية المتكررة:
إن استعمال عدد من التعابير الوجهية كالابتسام والغمز بصورة مستمرة يؤدي إلى ظهور خطوط دقيقة.
وفي كل مرة تحدث فيها عملية الابتسام تظهر أخاديد صغيرة في العضلة المسببة لها، ومع تقدم السن وارتخاء الجلد فان الأخاديد تكون أكثر وضوحاً.

👈🏻 اما عن طرق العلاج

فهناك طرق علاج بالادوية :
مثل
_ فيتامين A الموضعي (الريتينويد): استخدام هذا النوع من المراهم يساهم في إخفاء التجاعيد والخطوط الدقيقة، إضافة الى إزالة اللطخات الجلدية وزيادة نعومة الجلد.
ولكن الاستعمال المتكرر لمراهم الرتنويد يجعل الجلد أكثر عرضة للاحتراق لذلك يجب استعمال واقٍ شمسي مع ارتداء الملابس الواسعة التي تغطي الجسم للحماية من أشعة الشمس. إضافة لذلك فإنّ هذا المرهم قد يسبب حمرة في الجلد مع إحساس بالحرقة والجفاف.

_ مراهم التجاعيد التي لا تحتاج لوصفة طبية:
نتائج استعمال هذه المراهم تعتمد بصورة كبيرة على محتوياتها. حيث إن الأنواع المحتوية على فيتامين A أو مضادات الأكسدة تكون ذات فائدة في إخفاء التجاعيد والخطوط الصغيرة.
و لكن استعمال هذه المراهم يكون مفيداً لوقت قصير فقط، بسبب احتوائها على المكونات النشطة بنسبة قليلة فقط، بعكس المراهم

وطرق علاج بالليزر :

فاستخدام الليزر الجارح يساهم في تدمير طبقة البشرة الخارجية وزيادة حرارة طبقة الادمة، مما يؤدي الى تحفيز ألياف الكولاجين على النمو، وعندما يشفى الجرح فان الجلد الجديد المتكون يكون مشدوداً وأكثر نعومة.
ولكن من مضار استخدام هذه الطريقة: حدوث الندوب، وتغير لون الجلد الناتج إما بدرجة أفتح أو أغمق، وكون العملية تحتاج لعدة أشهر للاستشفاء بصورة كاملة.
استخدام الليزر غير الجارح له عدد من الفوائد، فهو يستغرق فترة أقل للشفاء، وأيضاً يعد مفيداً للأشخاص ذوي التجاعيد الصغيرة والمتوسطة. من مساوئ هذه الطريقة كونها تعاد مرات أكثر من الليزر الجارح للحصول على النتيجة المرجوة.

هناك بعض الأجهزة التي تستخدم موجات الراديو كبديل للّيزر الغير الجارح للحصول على جلد أكثر نعومة

واستخدام البوتكس

واخيرا يجب الابتعاد عن الشمس لحماية الجلد
واستخدام مرطبات للبشرة
للحفاظ على عدم ظهور التجاعيد

#صيدليات_فارماسيتى🌸
#الاقرب_لك ❤ 🤗

Leave a Reply